En el proceso de atención del código ictus se recomienda realizar TC craneal simple antes de los 20 min desde la llegada del paciente a urgencias, según varias sociedades científicas
Artículo publicado en la revista Radiología. “Recomendaciones sobre el uso de la tomografía computarizada (TC) en el código ictus”
DOCUMENTO DE CONSENSO SENR, SERAU, GEECV-SEN, SERAM
- La neuroimagen es una herramienta indispensable en el proceso de atención del código ictus para diferenciar los tipos de ictus, descartar otras lesiones y aplicar el tratamiento adecuado lo antes posible
- La tomografía computarizada (TC) adquiere especial relevancia por su disponibilidad y rapidez de adquisición, lo que permite obtener un diagnóstico preciso con celeridad
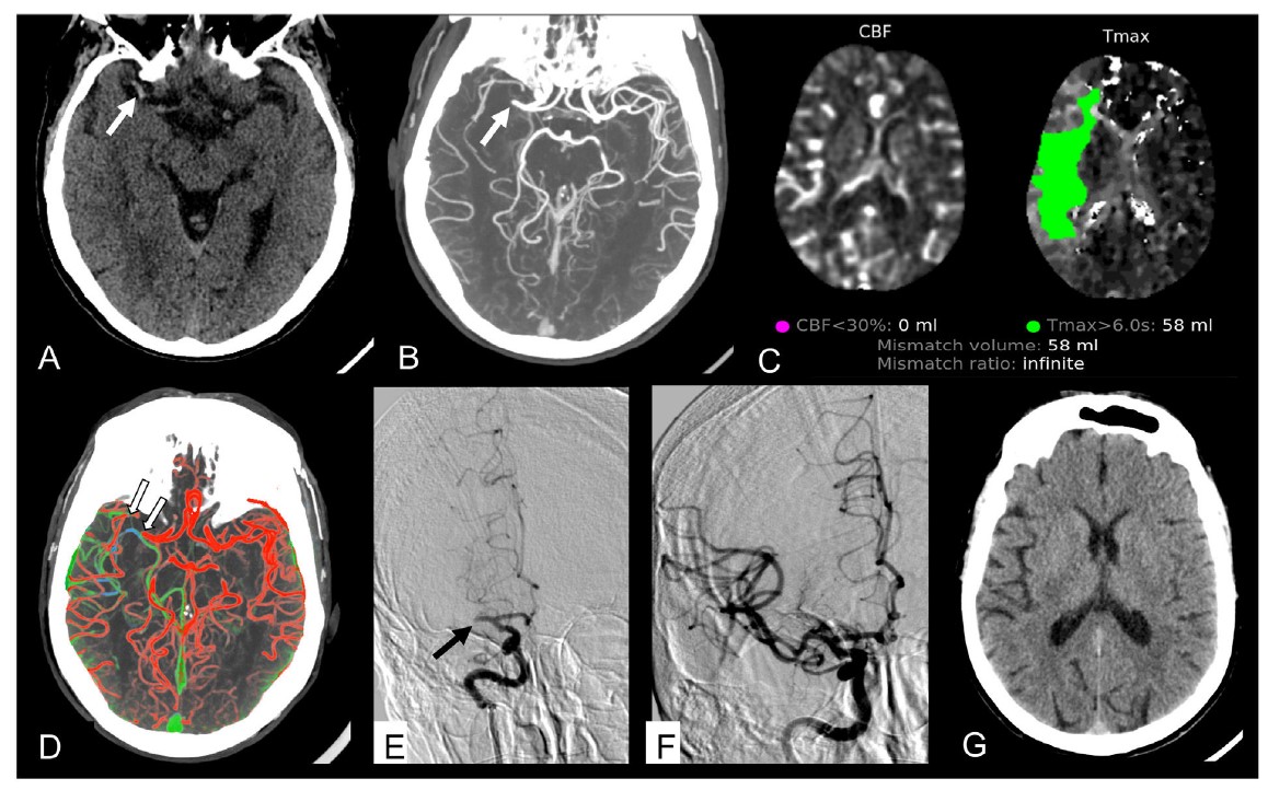
- La angio-TC en el protocolo del código ictus permite detectar oclusiones, estenosis y otras anomalías vasculares en pacientes con ictus
En el proceso de atención del código ictus se recomienda realizar tomografía computarizada (TC) craneal simple antes de los 20 min desde la llegada del paciente a urgencias, según la Sociedad Española de Neurorradiología (SENR), la Sociedad Española de Radiología de Urgencias (SERAU), la Sociedad Española de Neurología a través de su Grupo de Estudio de Enfermedades Cerebrovasculares (GEECV-SEN) y la Sociedad Española de Radiología Médica (SERAM). Se trata de una de las conclusiones que se ponen de manifiesto en el documento de consenso que publica la revista Radiología “Recomendaciones sobre el uso de la TC en el código ictus” centrándose en sus indicaciones, la técnica para su correcta adquisición y las posibles causas de error en su interpretación.
La neuroimagen es una herramienta indispensable en el proceso de atención del código ictus para diferenciar los tipos de ictus, descartar otras lesiones y aplicar el tratamiento adecuado lo antes posible.
Entre las distintas técnicas disponibles, la TC adquiere especial relevancia por su disponibilidad en la mayor parte de los servicios de urgencias y por su rapidez de adquisición, lo que permite obtener un diagnóstico preciso, con la celeridad que esta patología requiere, para poder aplicar el tratamiento más adecuado lo antes posible.
Según el Dr. Antonio López Rueda, autor del artículo y miembro de la SERAM “para poder asegurar la rentabilidad adecuada de las distintas herramientas de TC en el manejo del código ictus es necesario conocer bien sus indicaciones, la información útil que pueden aportar en cada caso, la técnica para su correcta adquisición y las posibles causas de error en su interpretación”.
La TC craneal se realiza sin contraste, reservándose la aplicación de este, en general, para el diagnóstico de lesiones simuladoras de ictus (como tumores o encefalitis), cuando los hallazgos en la TC craneal simple requieran una mayor definición para el diagnóstico final.
La angio-TC en el protocolo del código ictus permite la evaluación no invasiva del árbol vascular cerebral y, por tanto, detectar oclusiones, estenosis y otras anomalías vasculares en pacientes con ictus.
El artículo apunta que, en el caso de ictus hemorrágicos, la realización de una angio-TC urgente está indicada cuando las características de la hemorragia sugieran una etiología secundaria, por ejemplo, a la rotura de una malformación vascular o un aneurisma subyacente.
Angio-TC multifase y TC perfusión (TCP) aportan información sobre el estado de perfusión del tejido en riesgo cuando existe una oclusión arterial y, por lo tanto, ofrecen marcadores indirectos de la viabilidad tisular en pacientes con ictus isquémico permitiendo una aproximación a la identificación del área de penumbra. Por ello, se utilizan con el fin de identificar pacientes con ictus isquémico que se pueden beneficiar de tratamientos de reperfusión en ventanas extendidas.
El Dr. López Rueda comenta que además “la TCP puede ser útil para ayudar al diagnóstico en casos de simuladores de ictus, pues en estos casos no se detectará déficit de perfusión correspondiente a un territorio vascular”.
El artículo desgrana los objetivos de uso de TC craneal sin contraste intravenoso, Angio-TC de troncos supraaórticos e intracraneal, Angio-TC multifase y TC perfusión en el ictus.
Los autores también señalan que se pueden producir errores en la adquisición de las imágenes que tengan como consecuencia unos mapas de perfusión incorrectos.
Referencia: A. López-Rueda, L. Ibá˜nez Sanz, M. Alonso de Leci˜nana et al., Recomendaciones sobre el uso de
la tomografía computarizada en el código ictus: Documento de consenso SENR, SERAU, GEECV-SEN, SERAM, Radiología, https://doi.org/10.1016/j.rx.2022.11.007
